食事の噛んだ時や歯を叩いた時に、むし歯は見当たらないのに強い痛みを感じるなど原因不明の症状があり、不安になる方も多いのではないでしょうか。もしかすると、それは歯根膜炎(しこんまくえん)かもしれません。歯根膜炎は、何らかの原因により歯の根の周りにある歯とあごの骨を繋いでいる膜に炎症を起こしてしまうことをいいます。
そこで今回は歯根膜炎の症状や治療法について詳しく解説します。ぜひ、参考にしてみてください。
この記事のポイント
- 歯根膜炎についてわかる
- 歯根膜炎の原因がわかる
- 歯根膜炎の対処法・治療法がわかる
歯根膜炎とは
歯(セメント質)と骨(歯槽骨)をつないでいる、コラーゲン繊維でできている膜を歯根膜(しこんまく)と呼びます。厚みが約0.3mm程度の薄い膜で、歯に力が加わったときのクッションの役割をしています。
この歯根膜に炎症が起きてしまう病気が歯根膜炎です。
図:歯と骨を繋ぐ歯根膜(出典:ペリオ・ガイドブック)
歯根膜炎の原因
原因としては物理的な要因(外からの刺激)によるものと細菌感染による炎症に分類されます。
物理的な要因としては外傷、歯ぎしり、食いしばり、咬み合わせの異常など。
細菌感染によるものとしては虫歯・歯周病や根管治療による感染、歯の破折など炎症により起きることがあります。
歯根膜炎の症状
・歯が浮いたような感じ、噛んだり、たたくなど刺激が加わると痛みが出たり、違和感がある・歯ぐきの腫れや赤み・夜も眠れないほど痛んだり、歯ぐきから膿がでる
場合によっては症状がまったくないこともありますが、歯根膜炎には強い痛みを感じる場合もあったりと症状も様々です。
検査/診断
歯をピンセットなどで叩き刺激することで反応を調べ、歯ぐきを触ったみたり、歯周ポケットの深さを測る、歯の揺れを確認する、歯の神経の状態を確認します。またレントゲン写真を撮影するなど様々な検査を行い、その症状の原因を調べ、診断します。
外傷による歯根膜炎
転んで歯をぶつけたり、折れたり、ひびが入るなど、外から強い力がかかると、歯根膜の一部が断裂して炎症を起こします。
急に重たい物を持ち上げた時に、腰が痛くなるのと同じです。歯や歯を支える組織が過剰な力を受けた結果、ダメージを受け、痛みを感じます。
治療法
痛みの出ている歯のかみ合わせを調整し負担を軽くすることで、炎症が治ります。
治療期間と費用
治療はその日のうちに終わります。負担が少なくなれば多くの場合、症状は軽減します。
費用は、それぞれの病院で異なりますが、保健診療内で治療を行ってもらえることが多いです。
汚れ(感染)による歯根膜炎について
歯の周りや内部、根の表面の亀裂に口の中の細菌が入り込み、歯根膜炎が生じます。
症状は多種多様で、全く症状がないこともありますが、咬むと痛い、場合によっては夜に眠れなくなるほどの激痛を感じることもあります。
歯の周りの汚れが原因の場合
歯の周りには歯周ポケットと呼ばれる溝があります。
そこに汚れ(プラーク)が溜まると歯周ポケットが深くなり、炎症が起こります。
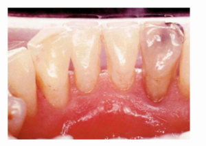
図:歯と歯肉(歯ぐき)の間にある歯周ポケット
図:歯周ポケットが深くなり歯ぐきが赤く腫れている
症状
初期の段階では痛みなどの症状はまったくありません。
そのため、患者さんは気付かないことが圧倒的に多いのです。しかし、病気が進行すると噛んだ時の違和感や出血、激しい痛みに襲われる場合もあります。
治療法
歯石や歯垢(プラーク)の除去、歯磨き指導などの基本的な治療を行います。
また、歯周病が進行している場合は、歯周ポケットの洗浄を行います。
汚れを取り除くことにより、歯の周囲に生じていた炎症を押さえていきます。
治療での大事なポイント① 〜ブラッシング〜
患者さん自身の歯磨きがとても大切です。口の中の汚れを歯磨きでしっかり取り除くことにより、症状の改善が可能です。
治療での大事なポイント② 〜歯科医院での汚れの除去〜
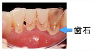
歯周ポケットの奥底の汚れや歯石は、歯磨きだけでは取り除くことはできません。そのような汚れの除去は歯科医院に通院し、歯科医師、または歯科衛生士によるクリーニングをやってもらうことが大事です。
除去前
除去後 (出典:ペリオ・ガイドブック)
治療での大事なポイント③ 〜メインテナンス〜
歯磨きが上手な方でも、汚れは少しずつ溜まっていきます。そのため、定期的に歯科医院に通い、クリーニングをしてもらうことがとても重要なことです。
歯の内部の汚れが原因の場合
歯の内部には「歯髄(しずい)」と呼ばれるゼリー状の柔らかい組織があり、むし歯の進行により細菌感染が起こり、歯髄がダメージを受けてしまいます。
歯の内部で細菌が増殖し、それが根の先まで到達し、炎症を起こします。これが根の先の歯根膜炎です。
図:歯髄が腐り、内部が泥だらけになっている状態
図:根の先の歯根膜炎になってしまった歯
症状
まったく症状のない場合もありますが、噛むと痛みや違和感を感じたり、歯が浮いた状態に感じることもあります。また歯ぐきが赤く腫れたり、触ると痛みを感じることもあります。
さらにひどくなると、ズキズキとして夜も眠れないほどの強い痛みを感じることもあります。
治療法
根管治療(こんかんちりょう)と呼ばれる歯の内部に存在する汚れ(細菌)を取り除きます。
根管治療により内部をきれいにすると、根の先まで到達する汚れが少なくなり、炎症が治まっていきます。
しかし、口の中にある小さな歯のさらに内部の汚れをすべて取り除くことは、非常に困難です。根管治療の成功率を向上させるには、いくつかのポイントがあります。
根管治療の失敗を防ぐ方法について、詳しくは「根管治療の成否で歯の寿命が変わる!失敗再治療を防ぐ方法」をご覧ください。
根の表面の亀裂に入り込んだ汚れが原因の場合
歯は繰り返しの治療を行うことにより、削る事で歯の残っている部分が少なくなります。この状態で硬い物を噛んだり、歯ぎしりなど外部からの刺激により歯の根に亀裂が入る事があります。
その亀裂に入り込んだ細菌により、歯根膜炎になってしまうことがあります。これを歯根破折による歯根膜炎と呼びます。
図:根にヒビが入ってしまった歯
治療法
残念ながら、これといった確実な治療方法はなく、歯を保存しながら感染を除去することは難しいため、抜歯を行うケースが多くなります。
まとめ
歯の根っこを取り囲む歯根膜は、その歯の健康寿命に大きく関わっており、その歯根膜には様々な要因で炎症が生じる事があります。歯根膜炎かもしれないと感じた方は、安心のできる歯科医院を選んで、適切な診断、適切な治療を受け、快適なお口の中の健康を維持していただきたいと思います。

