歯石除去を歯科医院に行かないで自分でできるのだろうか?と相談されることが多くあります。
歯科医院に行くのは面倒だし痛い、費用がかかるかもしれないといった不安もあるかもしれません。
しかし、歯石除去を自分の判断で行ってしまうと、思いがけないさまざまな症状が起こることが考えられます。
今日は、歯石除去の正しい知識を知っていただき、自分で歯石除去をするのではなく、安心して歯科医院へ通っていただけるように歯石について解説をしていきます。
この記事のポイント
- 歯石除去は自分ではやってはいけない
- 歯石がつかないようにする方法がわかる
- 歯石がつきやすい部分の磨き方のポイント
歯石とは
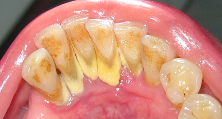
歯石とは、口の中の汚れ(プラークor歯垢)の中の細菌が唾液に含まれるカルシウムやリンなどのミネラル成分と結合して、時間が経つと石のように硬くなってしまったものです。
歯ブラシでのブラッシングで取りきれなかった汚れは個人差はありますが、約2~14日程度でで歯石になると言われています。
歯石自体は直接的に虫歯や歯周病の原因になるものではありません。けれど歯石がついている歯の面はザラザラしているため、汚れがつきやすくなる環境を作ってしまいます。結果として虫歯や歯周病の原因となりやすい環境になってしまいます。

歯石除去を自分でやってはいけない理由
逆効果になることもある
歯石除去を自分で行うと、歯ぐきを傷つけてしまったり、しっかり歯石を取り切れない、歯面にも傷ができてしまう場合が多いです。
そうなると、歯の表面が歯石の部分とそうでない部分とで凸凹ができてしまいます。
また、歯石のついていた表面は細かな歯石や傷がついているため、歯科医院では、歯石除去のあとに歯の表面を綺麗に磨きあげる作業をしています。
この作業をすることでざらつきを取り除き、滑沢な面に仕上げます。自分で歯石除去をした場合、この表面のざらつきをとることができないため、結果としてさらに歯石のつきやすい環境を作ることになってしまいます。
歯面を傷つけてしまうこともある
歯石除去に使う道具は、鋭利な刃物を使用します。
そのため歯石除去は、国家試験に合格し、国家資格を取得している歯科衛生士が行う専門的な施術です。
歯を傷つけないように操作し的確に歯石を取り除く技術が要求されます。
鋭利な刃物を使って自分で歯石を取る場合、見えないお口の中での操作になり、歯の表面を傷つけてしまう可能性があります。
歯の表面に鋭利な刃物で傷がついてしまうと汚れがつきやすくなったり、知覚過敏などのしみる症状の原因になったりします。
歯ぐきを傷つけることもある
見えないお口の中での鋭利な刃物の操作は、歯ぐきに誤って刺したり、切り傷をつけてしまったり、引っ掛けてしまったりと傷をつけることも考えられます。
歯ぐきはとても繊細です。ふとしたことでも傷つきやすく、悪化すれば口内炎の原因にもなりかねません。
さらに歯石を付着させてしまうこともある
歯石を自分で取ることにより、歯の表面の細かな歯石が残ってしまったり、ざらつきを取りのぞくことができません。
歯の表面がザラザラしたままでいると、かえって歯石が付きやすい環境を作ってしまうこともあります。
歯石がつかないようにするためには
なぜ歯石が付着するのか
口の中の汚れ(プラークor歯垢)の中の細菌が唾液に含まれるカルシウムやリンなどのミネラル成分と結合することにより、時間が経つと石のように硬くなってできます。
歯石が付着しやすい部分は唾液腺がでてくる周辺です。
唾液のでる唾液腺は、舌の下(舌下腺)にあります。そのため下の前歯の裏側に歯石が付きやすいです。その他、耳の下(耳下腺)あたりにある唾液腺にも歯石が付きやすいといわれています。上の奥歯の頬側の部分になります。
ブラッシングで取りきれなかった汚れ(プラーク)は個人差はありますが、付着して2~14日程度で歯石になると言われています。

正しい歯磨き習慣
歯石の付着を防ぐためには、自分のお口の中でどの部分に歯石が付きやすいのかを知り、その部分の適切な歯磨き習慣を行うことです。唾液腺の開口部以外にも、磨き方の癖などでどうしても歯ブラシが当たっていない部分には歯石が付着しやすいです。歯並びが悪くて重なっていたり、高さの差があったり、歯軸が傾いているところは気を付けて磨いてみてください。
誰でも完璧に100%磨けるかというと、歯科医師や歯科衛生士などの専門家でも難しいこともあります。毎日の歯磨きで歯石のつきやすい部分を意識しながら、磨き残ってしまう部分は定期的なメンテナンスをしてもらい、専門家のアドバイスを受けるのもいいと思います。
定期的な歯科検診(クリーニング)
歯石やよごれ(歯垢、ステイン)はつきやすい人とそうでない人がいますが、口腔内の症状として歯石以外にも虫歯や歯周病になっている場合もあります。定期的に歯科医院で検診を行い、お口の中のチェックやクリーニングをしてもらうことをおすすめしています。
1年に一度の人間ドックと同じように歯科検診も受診する習慣をつけると良いでしょう。
口の中の健康は全身の健康の維持にも関係しています。
歯石除去の方法については「歯科医院でプロが行う!歯石除去の方法、手順、かかる回数」、
歯石除去の効果について、詳しくは「歯科衛生士が教える!歯石除去して得られる5つの効果」をご覧ください。
歯石が付きやすい部位の磨き方のポイント
舌顎前歯舌側の磨き方(かかと磨き法)
歯ブラシを縦にして、歯ブラシのかかとの部分を使って小刻みに動かす方法です。
歯石は歯と歯の間、歯と歯ぐきの境目につきますので、毛先を意識しながら細く動かします。

上顎頬側奥歯の磨き方(フォーンズ法またはバス法)
・フォーンズ法
歯ブラシを横向きに入れ、奥歯を磨く時は上下同時に磨く方法で、毛先を歯面に直角にあてて上下の歯に当たるように円を描きながら磨いていきます。

・バス法
歯周ポケットの清掃や歯肉のマッサージができる方法で、ブラシを歯と歯ぐきの境目に歯ブラシを45度で当てて、優しく小刻みに2㎜幅程度で左右に磨くブラッシング方法です。

歯の磨き方について、詳しくは「歯科衛生士が教える歯磨き方法!時間/回数/タイミング」をご覧ください。
まとめ
歯石除去は国家資格を持つ歯科医師、歯科衛生士の専門的な施術です。自分で歯石除去を行えば歯科医院に行かなくてもいいと思うかもしれませんが、自分で鋭利な刃物を扱うことで、歯ぐきや歯を傷つける恐れがあります。歯が傷ついてしまうと元には戻せません。また、自分で歯石除去をすると逆に歯石がつきやすい環境にしてしまうかもしれません。生涯にわたって使う大切な歯だからこそ、普段の正しいケアと専門家からの定期的なアドバイスをうけることで、健康なお口の状態を保つことができるでしょう。

